![]()
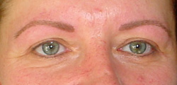
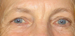
Die Augenpartie entscheidet wesentlich über den Gesichtsausdruck: müde und abgespannt oder lebhaft und frisch!
Augenbrauen sind der Rahmen des Gesichts.
Ohne wohlgeformte Augenbrauen ist kein Gesicht vollkommen.
Wunderschöne, ganz natürlich wirkende Augenbrauen – ohne mühsames Nachziehen. Optimale Form und Farbe, zum Typ und Alter passend. Exakte, künstlerische Härchenzeichnung in verschiedenen Farbtönen verleihen den Brauen Plastizität und Ihrem Gesicht Harmonie.
Lidstrich: Möchten Sie, dass Ihre Augen größer und strahlender wirken? Die exakte Pigmentierung der Lidränder (Wimpernkranzverdichtung) ist das richtige für Sie. Auch bei Schlupflidern. Ideal auch bei Damen, die keine Wimperntusche und Kajalstifte vertragen.
Auf den folgenden Fotos sehen Sie die positive Ausstrahlung durch jeweils Formung incl. Härchenpigmentierung der Augenbrauen und durch einen dezenten natürlichen Lidstrich. Die Fotos wurden jeweils direkt nach der ersten Behandlung aufgenommen und zeigen, dass die Kundin sofort danach wieder voll gesellschaftsfähig ist.
Die Farbe verblasst nach einigen Tagen noch etwas und das Ergebnis sieht dann ganz natürlich aus. Im Rahmen der Nachbehandlung wird das Ergebnis dann überprüft und optimiert.
Augenpartie Vorher-Nachher










