![]()
Billig-Angebote oder falsche Studiowahl können sehr ärgerlich und teuer werden. Häufig sind erfolglose Pigmentierungen, die lediglich schmerzhaft waren oder farb- und formfremde Ergebnisse. Diese Folgen einer falschen Wahl sind sehr ernst, schließlich sind Verzeichnungen dauerhaft.
Der Aufwand für eine optische Korrektur ist groß, entsprechend sind die Kosten.
Philosophie: „Wer billig kauft, kauft meist zweimal.“
Das heißt: „Wer den Preis in den Vordergrund seiner Kaufentscheidung stellt, der darf nicht erwarten, dass sie bzw. er dafür auch eine hochwertige Leistung erhält. Wirklich sparen kann man nur dann, wenn man hochwertige Leistungen mit modernster Technik und größtmöglichem Fachwissen einsetzt. Diese Leistungen haben dann aber wieder ihren Preis.“
Fazit:
„Der Ärger über eine schlechte Leistung währt länger als die Freude über einen kleinen Preis.“
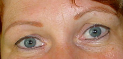
| Vorher |
![]() |
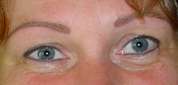
| Nachher |
![]() |
Hier wurde über die natürlichen Augenbrauen pigmentiert, so dass die Augenbrauen doppelt so hoch waren.
Lösung: Die Pigmentierung wurde mit hautfarbe dauerhaft überzeichnet.
| Vorher |
![]() |
| Nachher |
![]() |
Hier waren die Augenbrauen in orange pigmentiert.
Lösung: Neue Farbgebung in natürlichem Farbton.
| Vorher |
![]() |
| Nachher |
![]() |
Hier waren die Augenbrauen als roter Balken pigmentiert.
Lösung: Härchenzeichnung in natürlichem Farbton.
| Vorher |
![]() |
| Nachher |
![]() |
Hier wurde nur eine Lippenkontur pigmentiert, die Lippenform der Oberlippe ungleichmässig, die Lippe war nicht schattiert.
Lösung: Korrektur der Form der Oberlippe und Schattierung der kompletten Lippe in der gleichen Farbe.








