![]()
Область вокруг глаз во многом определяет, как выглядит наше лицо – усталым и утомленным или оживленным и свежим.
Брови - это оправа лица.
Без красиво очерченных бровей ни одно лицо не будет выглядеть идеально.
Прекрасные, естественные брови – без утомительного подкрашивания. Оптимальная форма и цвет, подходящие Вашему возрасту и типу внешности. Точная, филигранная волосковая техника различных тонов, придающая живость бровям и гармонию – Вашему лицу.
Линия века: Вы хотели бы иметь большие, сияющие глаза? Тогда точное пигментирование по линии ресниц – правильный выбор, также и при нависших веках. Идеальное решение и для женщин с аллергией на тушь и подводку.
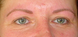
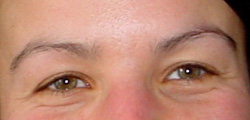
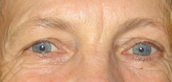
На фото ниже Вы сами можете видеть, как сияет лицо благодаря приданию формы бровям волосковой техникой пигментирования вместе с естественной подводкой по линии ресниц. Фото были сделаны после первой процедуры и показывают, что после окончания сеанса Вам не потребуется время на восстановление.
Цвет еще немного бледнеет через несколько дней и в результате выглядит абсолютно естественно. На дополнительной процедуре результат проверяется и улучшается.
Область вокруг глаз – до и после










