![]()
Дешевые предложения или неправильный выбор салона зачастую приносят разочарование и дорого обходятся. Часто результом становится безуспешное болезненное пигментирование или же не те цвет и форма, которых Вы ожидали. Такие последствия неправильного выбора достаточно серьезны – в конце концов, они остаются на коже на долгий срок.
«Скупой платит дважды».
Это значит, что тот, кто при совершении покупки руководствуется в первую очередь ценой, не может быть уверен, что получит самый качественный товар. По-настоящему сэкономить можно только вкладывая деньги в услуги высокого качества, оказанные специалистом. А такие услуги, в свою очередь, имеют соответствующую цену.
Вывод:
„недовольство от плохого качества держится дольше, чем радость от низкой цены.
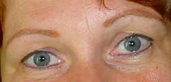
| До |
![]() |
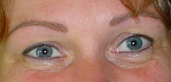
| После |
![]() |
Здесь пигментирование было сделано выше бровей клиентки, в результате чего получились «двойные» брови.
Решение: пигментирование телесного цвета поверх неудачно сделанного.
| До |
![]() |
| После |
![]() |
Здесь на область бровей был нанесен оранжевый пигмент.
Решение: новое пигментирование естественного цвета волос клиентки.
| До |
![]() |
| После |
![]() |
Здесь брови были выполнены в виде рыжих сплошных полос.
Решение: волосковая техника пигментирвания естественного оттенка.
| До |
![]() |
| После |
![]() |
Здесь было сделано только пигментрование контура губ, контур верхней губы неравномерный, не был нанесен пигмент внутри контура губ.
Решение: коррекция формы верхней губы и шатирование/растушевка пигментом одного оттенка.








